Medical Case: A hypertensive crisis and confusion...due to nicotine?

A 56-year-old man is at the ER. He seems extremely confused and suffers from a hypertensive crisis. Are the symptoms just lifestyle-related?

A 56 year-old with hypertensive dysfunction and confusion. What could be causing his symptoms?

Medical history and clinical examination

His medical history revealed that Mr F. had suffered from hypertension. This diagnosis had been present for years but was poorly controlled. He had no serious health problems in the past, apart from occasional headaches and fatigue, which he attributed to his stressful job and nicotine consumption.

During examination, Mr F. appeared confused and had difficulty articulating his complaints. He also reported blurred vision. His blood pressure was alarmingly high at 190/110 mm Hg. A neurological examination showed no evidence of focal deficits, but a slight nystagmus to the right.

Laboratory and cerebrospinal fluid diagnostics

Creatinine: 2.5 mg/dL. C-reactive protein 4 mg/l. Haemoglobin: 13.4 g/dl. Leukocytes: 5.36/nl. CSF: 4 cells/μl, unremarkable for glucose, lactate.

Imaging

A computerised head tomography scan was performed to rule out an intracranial haemorrhage. Due to pathological findings, magnetic resonance imaging was subsequently performed.

Medical Case - Aymen - Hyper..

Which diagnosis do you suspect? 


Here you can find out if you made the correct diagnosis:

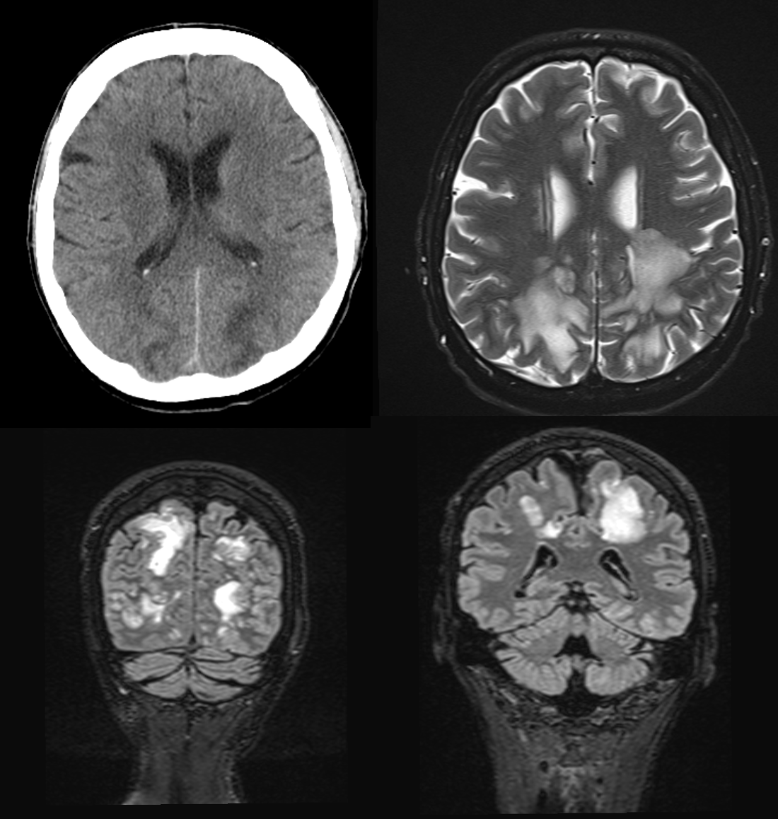
MRI findings

The axial T2 as well as the coronal T2-FLAIR sequences show pronounced flat T2w-hyperintense areas in the parieto-occipital semioval center on both sides. The cortex was not affected. Furthermore, there was no evidence of intracranial haemorrhage. Image was compatible with vasogenic oedema in posterior reversible encephalopathy syndrome (PRES).

Diagnosis and treatment

A PRES diagnosis was finally made. Posterior reversible encephalopathy syndrome is characterised by vasogenic oedema, often triggered by rapid fluctuations in blood pressure, renal insufficiency or the use of immunosuppressants. Mr F's long-standing hypertension, coupled with his recent deterioration in renal function, fitted this picture well.

Admission to the stroke unit focussed on immediate reduction of blood pressure and monitoring of his neurological function. Anticonvulsant therapy was initiated as a precautionary measure.

Clinical symptoms, treatment and prognosis of PRES

The clinical features of PRES are varied and can range from headaches and visual disturbances to nausea and altered mental status. Fortunately, the syndrome is often reversible, provided the underlying cause is treated effectively.

Mr F. responded well to the treatment. His blood pressure normalised within a few days and his neurological symptoms also improved. He was informed about the importance of controlling his blood pressure, and of regularly monitoring his kidney function. He was able to leave the hospital after a week, but with a strict treatment plan and regular follow-up appointments.

Do you have a case study you would like to share?

Send us the details of your case report to content@esanum.de. Your contribution will be reviewed by our medical experts before publication, and the final version will only be published with your consent.