Cardiac MRI (CMR) for further investigation
In view of the electro-anatomical discordance and the hypertrophic phenotype detected on the echocardiogram, CMR was performed. These results:
- Biventricular hypertrophy with preserved systolic function
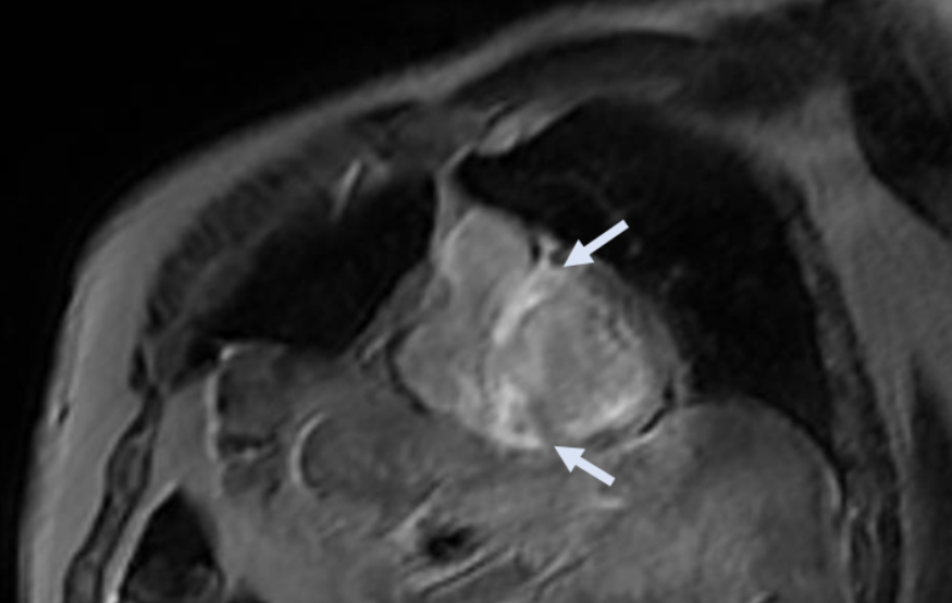
- Infiltrative pattern with extensive areas of late gadolinium enhancement (LGE) predominantly intramyocardial at the level of the basal and middle septum, the basal postero-lateral wall, the papillary muscles and at the subepicardial-intramyocardial site of the anterior mid-basal wall and the inferior wall
- Presence of LGE also at the level of the atrial walls and the thickened interatrial septum
- Also presence of altered gadolinium kinetics, characterized by rapid uptake of the contrast agent into the myocardium at the expense of the blood contained in the cardiac chambers

CMR Images
Clinical suspicion
The findings therefore raised the suspicion of cardiac amyloidosis.
- ECG: the presence of low QRS voltages is considered the typical sign of cardiac amyloidosis, but is found in only 1/3 of patients with ATTR amyloidosis. Other ECG changes found include pseudo-ischemic changes (pseudonecrosis), conduction abnormalities (branch blocks, atrioventricular blocks, sinoatrial blocks) and rhythm disorders.
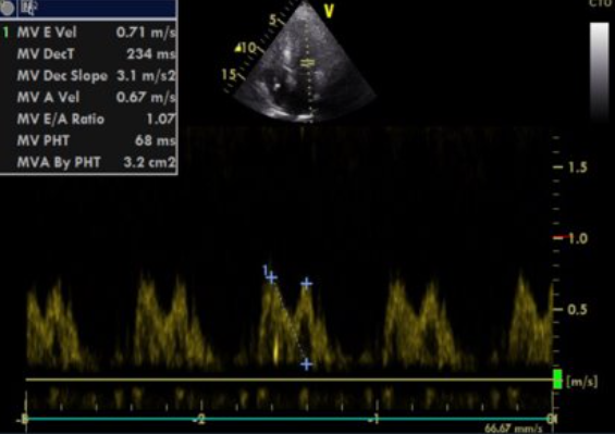
- TTE: concentric and symmetric hypertrophy with ‘granular sparkling’ appearance with diastolic dysfunction and valvular thickening associated with atrial dilatation and thickening of the interatrial septum.
- CMR: ventricular hypertrophy, altered gadolinium kinetics and diffuse finding of LGE with a non-ischemic pattern also involving the cardiac atria.
Further investigations and definitive diagnosis
- Laboratory tests for AL amyloidosis: negative.
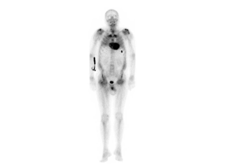
- Whole-body SPECT/CT for bone scintigraphy (99mTc-DPD): intense fixation of the radiopharmaceutical with particular involvement of the septal and lateral regions of the left ventricle associated with fixation in the right ventricle associated with marked global reduction of uptake in the skeletal area (Perugini Score: 3).
- In view of the syncopal episodes in the setting of cardiac amyloidosis and the sub-Hisian conduction disorder revealed on electrophysiological study, CRT-P implantation is performed.
- In view of the diagnosis of ATTR cardiac amyloidosis, the patient is referred to a specialized center to perform molecular analysis of the TTR gene, which shows no nucleotide alterations of pathological significance.
The diagnosis is therefore transthyretin-related wild-type amyloidosis (ATTR-wt).

Bone scintigraphy showing Perugini score grade 3
Transthyretin amyloidosis (ATTR-CM)
Cardiac amyloidosis is a form of restrictive cardiomyopathy caused by the accumulation in the cardiac extracellular space of amyloid, a collection of structurally altered protein fragments. The main forms of cardiac amyloidosis include light chain amyloidosis (AL) and transthyretin amyloidosis (ATTR).
Two forms of ATTR are recognised:
- The wild-type ATTR (ATTRwt) (acquired, non-hereditary form, it is the most common form of cardiac amyloidosis)
- The hereditary or variant ATTR (ATTRv)
ATTRv results from mutations in the gene for TTR (more than 120 have been reported), transmitted in an autosomal dominant manner. The clinical presentation of ATTRv is very heterogeneous, being able to include, depending on the responsible mutation, a strictly neurological phenotype (polyneuropathy and autonomic dysfunction), a strictly cardiac phenotype or mixed phenotypes, with different evolution and prognosis
ATTRwt shows up with advancing age and mainly affects the heart, although it can also involve soft tissues, leading mainly to spinal canal stenosis and bilateral carpal tunnel syndrome. ATTRwt generally affects elderly male patients, with a prevalence of 25% in individuals >85 years of age.
The clinical manifestations of cardiac involvement in the course of cardiac amyloidosis, such as dyspnoea, heart palpitation, asthenia, peripheral congestion, are non-specific and do not help in the differential diagnosis. In the ATTR form, nerve involvement is frequent and may be accompanied by ocular involvement: signs and symptoms of peripheral and dysautonomic neuropathy (orthostatic hypotension, syncope, loss of sphincter control) associated with vitreous opacities are common in ATTR. Special mention must be made of the carpal tunnel syndrome which, especially when bilateral, is a specific sign of ATTRwt amyloidosis, capable of anticipating cardiac manifestations by a decade.
Infiltration of the myocardium can lead to electrocardiographic findings suggestive of cardiac amyloidosis. Myocardial infiltration leads to systolic dysfunction already in the early stages of the disease. FE, however, remains preserved until the advanced stages of the disease while evidence of myocardial deformation allows the detection of systolic dysfunction already in the early stages of the disease. Among the non-invasive imaging methods, Cardiac Magnetic Resonance Imaging plays an increasingly important role, due to its capacity for tissue characterisation and its high spatial resolution that allows morphological and functional assessment.
Definitive diagnosis requires histological confirmation of the presence of amyloid substance on biopsy specimens obtained from tissues involved in the infiltrative process. In recent times, nuclear imaging has revolutionized the diagnosis of ATTR amyloidosis. Bone-specific radioisotopes used in total body bone scintigraphy bind transthyretin amyloid deposits. The degree of myocardial accumulation is variable and visually determined by the Perugini score (from 0 = no accumulation to 3 = pathological myocardial accumulation, greater than bone accumulation). In patients with score 2-3, in the absence of laboratory signs suggestive of AL amyloidosis, the non-invasive diagnosis of ATTR amyloidosis is possible with specificity and sensitivity greater than 99%. Subsequent genetic analysis will allow the distinction between mutant and wild-type forms.
In non-diagnostic or uncertain cases (Perugini score 2-3 in the presence of a positive hematological screening for plasma cell dyscrasias, Perugini score 0-1 in the presence of a still high suspicion of ATTR amyloidosis), the definitive diagnosis remains invasive and requires biopsy of the involved tissues.

